当前位置:首页 > 东抗动态 > 产品动态 > 文献速递 | Nature子刊破解肺纤维化 “瘢痕密码”:CCL20-α5β1 通路新机制,为靶向治疗开辟新赛道

文献速递 | Nature子刊破解肺纤维化 “瘢痕密码”:CCL20-α5β1 通路新机制,为靶向治疗开辟新赛道

2025/12/08
EastMabBio


图片

肺纤维化PF的病理核心,是肺组织在损伤后修复失衡,异常活化成纤维细胞疯狂分泌胶原蛋白等细胞外基质,最终具有弹性健康肺组织替换成僵硬的“瘢痕组织导致肺泡壁增厚失去弹性气体交换变得极其困难

在这一过程中,生长因子和信号通路的协同与级联作用尤为关键。我们在往期推文新品上架 | 不止是“修复信号”,更是“再生引擎”!全新人CTGF,为您的细胞研究按下加速键指出CTGF在组织修复与纤维化进程中处于核心地位——它不仅是TGF-β信号的关键下游效应分子,更通过与BMPVEGFPDGF等因子的协同,精准调控细胞外基质的合成与重塑。

今天介绍的这项发表于Nature Communications的最新研究,进一步揭示了肺纤维化中另一个关键调控轴:CCL20–integrin α5β1–TGF-β信号级联。该机制与CTGF共同构成了纤维化进程中上皮间质对话的重要桥梁。

一、CCL20:肺纤维化的上游信号启动器


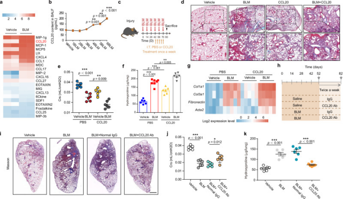
博来霉素BLM二氧化硅SiO₂百草枯Paraquat诱导的小鼠PF模型中,支气管肺泡灌洗液BALFCCL20的蛋白表达水平显著上调疾病进展持续升高外源性补充重组CCL20会加重BLM诱导的小鼠肺纤维化,而CCL20中和抗体则能缓解病变

图片

东抗视角:肺纤维化是“促纤维化信号”压倒“修复信号”的结果。TGF-β是纤维化的“总开关”,PDGF是“增殖引擎”,而CTGF作为协同放大器,持续输出基质合成信号。本研究揭示的CCL20,则从“上皮—间质”互作层面,为纤维化进程提供了新的上游驱动机制。


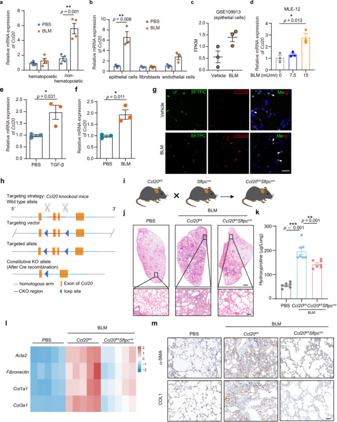
、AEC2细胞是PF中CCL20的主要来源


通过单细胞数据与实验验证,发现II型肺泡上皮细胞(AEC2s)是PF中CCL20的主要细胞来源。AEC2特异性敲除CCL20可显著保护小鼠免受BLM诱导的肺纤维化,从源头阻断了纤维化信号的启动。

图片
三、CCL20“改道”α5β1,驱动纤维化

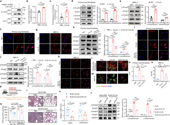
该研究通过质谱、Co-IPSPR等技术证实:CCL20并非通过已知受体CCR6发挥作用,而是直接结合肺成纤维细胞表面的整合素α5β1。

图片
图片
四、CCL20-α5β1轴增强TGF-β/Smad通路,与CTGF形成级联


质谱、蛋白质组学、表面等离子体共振(SPR)、分子对接、免疫印记等结果发现,CCL20与肺成纤维细胞表面的整合素α5β1结合后,增加TGF-β活性水平促进Smad2/3磷酸化及核转位,从而驱动成纤维细胞向肌成纤维细胞转化这一定位揭示了CCL20作为TGF-β的上游激活因子,与作为下游执行者的CTGF,共同构成了一条完整的纤维化信号放大通路。

图片

东抗视角:结合我们此前对CTGF机制的解析——TGF-β是纤维化的“总开关”,CCL20通过α5β1通路放大TGF-β信号,而CTGF作为TGF-β的关键下游效应因子,进一步强化细胞外基质合成,形成CCL20TGF-β→CTGF的“瘢痕信号”放大网络。


五、Pep-CCL20多肽阻断CCL20-α5β1,逆转肺纤维化


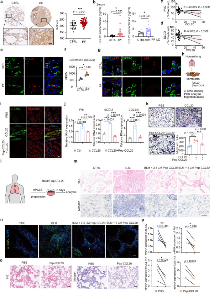
研究人员设计了一种α螺旋肽(Pep-CCL20),可特异性阻断CCL20与整合素α5β1的相互作用。实验结果显示,该肽段能显著减轻BLM/HCl诱导的小鼠肺纤维化。

图片
六、CCL20水平与患者肺功能负相关,或成为潜力标志物

临床样本分析显示,PF患者肺组织与血清中CCL20水平显著升高,且与肺功能指标(FVC%DLCO%)呈负相关。在人类精密切割肺切片(PCLS)中Pep-CCL20也能有效抑制BLM诱导的胶原沉积与α-SMA表达提示该通路在人类PF中同样具有致病作用,靶向该通路具有临床转化潜力。

总结:本研究系统揭示了CCL20-integrin α5β1-TGF-β轴在肺纤维化中的关键作用,不仅深化了对“上皮—间质”信号对话的理解,也为PF治疗提供了新的干预靶点。

                                                                                               EastMabBio

正如我们在CTGF产品相关介绍所强调的:纤维化是多重信号协同放大的结果。无论是CTGF作为“基质重塑引擎”,还是CCL20作为“上皮—间质桥梁”,它们共同构成了纤维化网络中不可忽视的调控节点。

东抗生物持续关注组织修复与纤维化研究前沿,致力于为广大科研工作者提供高活性、高一致性的重组蛋白工具(如Y05701 重组人CTGF),助力您在机制探索与药物开发中精准把控信号通路,构建更接近体内病例状态的疾病模型。

相关产品列表


图片
获取产品详情及说明书,欢迎随时咨询,公司将安排区域负责人与您对接~
图片


分享到:
隐私协议
×

平台信息提交-隐私协议

· 隐私政策

隐私政策


一、为了能够与您联系并给予您及时的反馈,江苏东抗生物医药科技有限公司在您注册帐号、订购咨询、课程报名、访问江苏东抗生物医药科技有限公司微信号等微信平台操作中收集您的个人信息(包括但不限于姓名、手机号/电话号码、联系地址、公司、邮箱、微信访问情况如日志信息等)并将该信息用于包括但不限于如下目的:

(1)对您的注册、报名、订购等给予反馈,并解答您提出的问询或咨询;

(2)告知您东抗生物最新活动并向您发出邀请;

(3)作为与您取得联系的必要方式;

(4)向您发出与东抗生物及其产品和服务相关的调查的邀请

(5)估算您的个人偏好、使用模式等以提升用户体验度和改善东抗生物的服务;

(6)向您发出与东抗生物产品或服务相关的产品信息、服务信息或邀请(包括但不限于与东抗生物产品或服务相关的促销活动信息或邀请、产品或服务介绍、市场活动信息等);

(7)改善东抗生物向您提供的产品和/或服务;

(8)其他经您同意可使用该信息的目的。

二、您同意东抗生物可将收集到的您的个人信息保存在东抗生物 CRM客户管理信息库或其他软件和数据库,以便东抗生物或该第三方服务商持续为您服务。

三、东抗生物承诺除非另外获得您的书面同意,不会将收集到的您的个人信息用于本隐私条款约定以外的目的和范围,也不会向本隐私条款约定的主体以外的其他方提供您的个人信息,但司法机关、行政机关等国家公权力机关或仲裁机构根据法律规定依法要求东抗生物提供的则除外。



法律法规
×

平台信息声明-法律法规

· 法律法规

江苏东抗生物医药科技有限公司商标注册:

East Mab

East Mab Bio

东抗生物